Accepting new patients across Arizona (480) 962-0071 Book a Consultation Gilbert • Tempe • Tucson

A surgeon who knows when not to operate

Dr. Venkat Ganapathy is a dual board-certified orthopedic spine surgeon with over 25 years of clinical, academic and leadership experience across Canada and the United States. He trained through dual fellowship programmes at the University of Western Ontario and the University of Toronto, two of Canada's leading academic spine centres.

His path to spine surgery was personal. Watching his grandfather overcome a debilitating spine condition, and learning alongside his father, an ENT surgeon, gave him an early understanding of what patients carry into every appointment. That understanding shapes every consultation.

He previously served as Chief of Orthopaedic Spine Service at the University of Arizona Banner Health System, was named Educator of the Year by the University of Arizona Orthopaedics programme and holds affiliate teaching faculty status at the Mayo Clinic Orthopaedic Residency.

"Good surgeons know how to operate. Better ones know when to operate. The best know when not to."

— Dr. Venkat Ganapathy, MD, FRCSC, FAAOS
Dual Board Certification
American Board of Orthopedic Surgery (ABOS), 2016 Active licence — Arizona & Texas Medical Boards
Royal College of Physicians & Surgeons Canada
Fellow (FRCSC), 2014 Dual certification in both the United States and Canada is held by a small fraction of spine surgeons in Arizona
Double Fellowship Training
University of Toronto, Sunnybrook Health Sciences Centre (2013–14) University of Western Ontario, London Health Sciences Centre (2012–13)
Washington Post — 2017 National feature on a complex diagnostic case managed by Dr. Ganapathy. One of the only Arizona spine surgeons with national print media recognition.
Educator of the Year — U of A Orthopaedics 2021 AOA Emerging Leaders Program 2014 ABOS Re-certification Faculty 2024

Subspecialty Spine Surgery

Dr. Ganapathy treats the full spectrum of spinal conditions from routine degenerative disease to the most complex revision and deformity cases in Arizona.

01

Adult Spinal Deformity

Complex scoliosis, kyphosis and sagittal balance correction. Double fellowship-trained in deformity at two of Canada's leading academic spine centres. Accepts referrals from across Arizona.

ScoliosisKyphosisSagittal BalanceFlatback
02

Minimally Invasive Spine

MIS and robotic-assisted techniques for lumbar and cervical conditions. Smaller incisions, faster recovery and greater precision. Eligible patients across all of Arizona.

MIS FusionRobotic SurgeryALIFACDF
03

Cervical Myelopathy

Cervical cord compression causing weakness, balance problems and hand dysfunction. Early surgical intervention preserves neurological function and prevents progression.

MyelopathyRadiculopathyDisc ReplacementACDF
04

Degenerative Spine

Conservative-first approach to disc herniation, spinal stenosis, degenerative disc disease and spondylolisthesis. Surgery only when it aligns with your life and your goals.

Disc HerniationStenosisDDDSpondylolisthesis
05

Revision Spine Surgery

Complex revision for failed prior surgery, adjacent-segment disease, hardware failure and recurrent disc herniation. Cases referred by surgeons across Arizona and beyond.

Adjacent SegmentHardware RevisionRecurrent Herniation
06

Spine Trauma & Oncology

Thoracolumbar and cervical fracture stabilisation, ankylosing spondylitis and spinal tumour reconstruction. Evidence-based surgical planning for the most complex presentations.

FracturesAnkylosing SpondylitisSpinal TumoursKyphoplasty

What We Treat

Serving patients across Gilbert, Tempe, Tucson and all of Arizona for the following spine conditions.

Disc Herniation
Cervical and lumbar herniation with nerve compression
Spinal Stenosis
Canal narrowing causing leg pain, weakness and cramping
Cervical Myelopathy
Cord compression causing hand and balance dysfunction
Degenerative Disc Disease
Disc collapse and chronic axial spine pain
Spondylolisthesis
Vertebral slippage causing instability and nerve pain
Adult Scoliosis
Progressive lateral curvature and sagittal imbalance
Kyphosis
Abnormal forward rounding including Scheuermann's kyphosis
Neck Pain & Radiculopathy
Cervical nerve root compression causing arm pain and numbness
Ankylosing Spondylitis
Inflammatory spine disease with fracture risk and deformity
Spinal Fractures
Thoracolumbar and cervical traumatic fracture stabilisation
Adjacent Segment Disease
Degeneration above or below a prior fusion level
Spinal Tumours
Primary and metastatic tumour reconstruction and stabilisation

Academic Foundations

Board Certifications & Licensure
2016American Board of Orthopedic Surgery (ABOS)Active — USA
2014Fellow, Royal College of Physicians & Surgeons of Canada (FRCSC)Active — Canada
2019Active Medical Licence — Arizona Medical Board
2017Active Medical Licence — Texas Medical Board
Fellowship Training
2013–14Complex Spine Surgery FellowshipUniversity of Toronto, Sunnybrook Health Sciences Centre
2012–13Complex Spine Surgery Fellowship — Combined Ortho-NeuroUniversity of Western Ontario, London Health Sciences Centre
Academic Appointments
2024–Affiliate Teaching Faculty, Mayo Clinic Orthopaedic ResidencyScottsdale, AZ
2024–MSK Module Instructor, Arizona State University Medical School
2019–23Chief, Orthopaedic Spine Service; Associate ProfessorBanner/University of Arizona Health System, Tucson
2018–AOSpine North America Teaching Faculty
Editorial Boards
2019–Journal of Bone and Joint SurgeryEditorial Review Board; former Associate Editor — Spine Panel
2019–World Neurosurgery — Editorial Review Board
2018–Spine — Editorial Review Board
2018–The Spine Journal — Editorial Review Board

Peer-Reviewed Publications

2025
Spinal Cord Injury in the 21st Century Part I: A New Demographic
World Neurosurgery, May 2025; 197:123917
2023
Utility of MRI for Ligamentous Injury in Cervical Spine Trauma: A 2-Year Consecutive Case Cohort
World Neurosurgery, 2023 Dec
2022
Cervical Fracture Patterns Associated with Blunt Cerebrovascular Injuries: A Meta-analysis
Spine Journal, Oct 2022; 22(10):1716-1725
2019
Adjacent-Segment Disease Following Two-Level Axial Lumbar Interbody Fusion
Journal of Neurosurgery: Spine, 2019
2017
Influence of Sagittal Balance and Spinopelvic Parameters on Outcomes in Degenerative Lumbar Spondylolisthesis
Journal of Neurosurgery: Spine, 2017

Serving Arizona from Three Locations

Dr. Ganapathy sees patients across Gilbert, Tempe and Tucson. All locations accept new patients with insurance and self-pay options. Referrals welcome statewide.

Gilbert

East Valley, Arizona
3717 S. Rome St, Suite 106
Gilbert, AZ 85297

Mon–Thu: 8 AM – 5 PM
Fri: 8 AM – 3 PM

(480) 962-0071
Book Appointment

Tempe

Phoenix Metro, Arizona
1255 W Rio Salado Pkwy, Suite 107
Tempe, AZ 85281

Contact office for clinic hours

(480) 962-0071
Book Appointment

Tucson

Southern Arizona
Tucson, AZ

Contact office for clinic hours

(480) 962-0071
Book Appointment

Common Questions

What spine conditions does Dr. Ganapathy treat across Arizona?+
Dr. Ganapathy treats disc herniation, spinal stenosis, degenerative disc disease, spondylolisthesis, cervical myelopathy, adult spinal deformity, scoliosis, kyphosis, neck pain, radiculopathy, ankylosing spondylitis, spinal fractures and complex revision spine conditions. He serves patients across Gilbert, Tempe, Tucson and all of Arizona.
What does dual board certification mean for patients?+
Dr. Ganapathy is board certified by both the American Board of Orthopedic Surgery (USA) and the Royal College of Physicians and Surgeons of Canada. This dual certification is held by a very small number of spine surgeons in Arizona and reflects training and examination standards across two national systems. He also completed double fellowship training at the University of Toronto and the University of Western Ontario.
Does Dr. Ganapathy recommend surgery as a first step?+
No. Dr. Ganapathy prioritises non-surgical care for every patient. His clinical principle is simple: good surgeons know how to operate, better ones know when to operate and the best know when not to. When surgery is the right answer, the plan is built around your life, not just your imaging.
Does Dr. Ganapathy accept complex and revision cases?+
Yes. Dr. Ganapathy has over 25 years of complex spine experience, including revision surgery, adjacent-segment disease, deformity correction and cases referred by other Arizona surgeons. He welcomes second opinions and complex referrals from statewide.
Is Dr. Ganapathy accepting new patients and does he take insurance?+
Yes. Dr. Ganapathy is currently accepting new patients across Arizona at locations in Gilbert, Tempe and Tucson. He accepts both insurance and self-pay patients. Referrals from primary care physicians, physiatrists and neurologists across Arizona are welcome.
Patient Reviews

What Patients Are
Saying

View All Reviews →
Google Reviews ★★★★★ Healthgrades ★★★★★
Leave a Google Review Review on Healthgrades
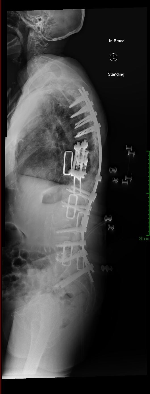
Imaging Gallery

Before & After
Spine Surgery

View All Cases →

All imaging is fully de-identified. Patient identifiers removed in compliance with HIPAA.

View All 5 Cases in Gallery →

Accepting New Patients — Arizona Statewide

Ready to talk about
your spine?

Non-surgical options are always considered first. When surgery is the right answer, the plan fits your life. Book a consultation with Dr. Ganapathy across Gilbert, Tempe and Tucson.

Gilbert: (480) 962-0071 Tucson & Tempe: (480) 962-0071 Web: elitespinecare.org