Accepting new patients across Arizona (480) 962-0071 Book a Consultation
Imaging Gallery

Before & After
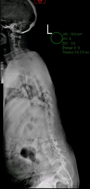
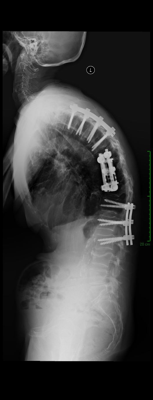
Spine Surgery

De-identified imaging from complex spine surgery cases. Each pair shows pre-operative pathology alongside post-operative correction across cervical, lumbar and deformity subspecialties.

HIPAA All imaging is fully de-identified. Patient names, dates of birth, medical record numbers and dates have been removed from DICOM metadata and all visible labels in compliance with HIPAA.
0
Cases Shown
25+
Years Experience
2
Board Certifications
2
Fellowships
Filter: